威斯汀新闻网
  • 首页
  • 国内新闻
  • 国际新闻
  • 游戏新闻
  • 教育新闻
  • 社会新闻
  • 娱乐新闻
  • 科技新闻
  • 医疗医学
  • 热点新闻
被泰国含毒品减肥药榨干的女生:整夜睡不着觉

被泰国含毒品减肥药榨干的女生:整夜睡不着觉

泰国DC减肥药,被通报含毒品成分。(网络图) 回想起3年前一次跟微商网购泰国减肥药的经历,林曦(化名)心有余悸。 2017年,林曦刚刚踏上工作岗位。日日加班的工作生活几乎占...
  • 国内新闻
  • 2023-11-23
  • 0
跟深圳大鹏珊瑚保育志愿者夜潜海底:蹲守4天首

跟深圳大鹏珊瑚保育志愿者夜潜海底:蹲守4天首

禁渔期刚过不久,潜爱大鹏珊瑚保育志愿者联合会的理事长白小刺和秘书长Morgan就迫不及待想去看海底看看。他们想知道,禁渔期过后的海底,生物多样性是怎样的。 这一次,他们选...
  • 国内新闻
  • 2023-11-23
  • 0
<b>丽江3岁男童被抱走惊魂45小时:距家数百米多人</b>

丽江3岁男童被抱走惊魂45小时:距家数百米多人

似乎难以相信这样的事情如今仍会发生,不少网友在评论时用“恐怖”来形容。那是8月23日的白天,上午10时30分许,云南丽江市永胜县永北镇,一名年仅3岁的小男孩被一名陌生女子抱...
  • 国内新闻
  • 2023-11-23
  • 0
明星祝福视频产业链调查:商家要求避开代言字

明星祝福视频产业链调查:商家要求避开代言字

明星祝福视频成产业链,20秒的祝福售价达几十万元?近日,南都记者调查发现,短视频、电商平台等都可见提供这一类服务的商家,不同明星的祝福视频被明码标价,价格可达十几万...
  • 国内新闻
  • 2023-11-23
  • 0
摆七夕,游古村,品妈姐菜!顺德均安独有的七

摆七夕,游古村,品妈姐菜!顺德均安独有的七

8月24、25日两天,第三届自梳女七夕文化节在顺德区均安镇沙头古村举行。此次文化节以“穿越古村,礼韵七夕”为主题,以弘扬中华传统文化、重现摆七夕的热闹情景为主线,融合汉...
  • 国内新闻
  • 2023-11-23
  • 0
40万元坑位费卖出三千销售额背后:带货主播普遍

40万元坑位费卖出三千销售额背后:带货主播普遍

当直播带货日益演变为数字游戏之时,水面下的故事正在浮现。 近日,南都记者调查发现,相较于顶流主播们创造的可观销售额和品牌曝光度,更有相当一批依靠买量、刷粉等手段伪...
  • 国内新闻
  • 2023-11-23
  • 0
网红泰国减肥药含毒品成分 网购服用被认定吸毒

网红泰国减肥药含毒品成分 网购服用被认定吸毒

最近,一种名叫“泰国DC减肥药”的产品上了微博热搜,原因是上海市禁毒办通报,这种通常借由代购进入国内的产品实际上含有多种在我国管制的精神药品成分,比如安非拉酮、芬特...
  • 国内新闻
  • 2023-11-23
  • 0
一男子腾讯接待中心所在楼坠亡!家属称因微信

一男子腾讯接待中心所在楼坠亡!家属称因微信

近日,有媒体报道称8月15日,一名21岁男子因微信被封号影响做生意,多次申诉无果后从腾讯用户接待中心坠亡,引发关注。8月27日,南都记者致电事发地辖区派出所,该所工作人员确...
  • 国内新闻
  • 2023-11-23
  • 0
<b>湛江5岁男童被遗留在校车身亡续:园方已赔偿,</b>

湛江5岁男童被遗留在校车身亡续:园方已赔偿,

此前南都报道广东湛江5岁男童被遗留校车后近9小时身亡案件再有新进展。8月27日广东湛江遂溪县人民检察院微信公众号“遂溪检察”发布消息称,关于“7·14”幼儿被遗留在校车内死...
  • 国内新闻
  • 2023-11-23
  • 0
中银协:厦门国际银行员工未喝酒被打一事处罚

中银协:厦门国际银行员工未喝酒被打一事处罚

“新员工未喝领导敬酒被扇耳光”事件日前引发关注后,涉事单位厦门国际银行北京分行已发布声明回应。8月27日,中国银行业协会在其公众号上发文称,涉事银行仅采取严重警告、...
  • 国内新闻
  • 2023-11-23
  • 0
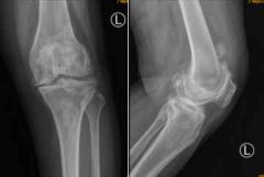
广东首例AI辅助全膝关节置换手术,手术过后就能

广东首例AI辅助全膝关节置换手术,手术过后就能

南都讯 记者李春花 通讯员 王慧 75岁的何阿姨,常年受到双膝关节疼痛的折磨,近日疼痛愈加严重,双侧膝关节逐渐弯曲变形,辗转来到广医三院关节外科就诊,因患者合并痛风和糖...
  • 国内新闻
  • 2023-11-23
  • 0
“蚂蚁搬家” “搬”出10亿元走私案

“蚂蚁搬家” “搬”出10亿元走私案

南方网讯 9月4日,拱北海关与珠海市公安局联合举办新闻发布会,对外公布双方破获的“G2007”“水客”团伙走私高价值货物案,初估案值约10亿元。 近期,拱北口岸的通关人流量出现...
  • 国内新闻
  • 2023-11-23
  • 0
全国首例乐高侵权案宣判:主犯获刑6年罚9千万,

全国首例乐高侵权案宣判:主犯获刑6年罚9千万,

南都记者从上海市第三中级人民法院(以下简称“上海三中院”)获悉,9月2日上午,该院开庭宣判销售仿冒“乐高”案。被告人李某某以侵犯著作权罪被判处有期徒刑六年,并处罚金...
  • 国内新闻
  • 2023-11-23
  • 0
  • 首页
  • 上一页
  • 47
  • 48
  • 49
  • 50
  • 51
  • 52
  • 53
  • 54
  • 55
  • 56
  • 57
  • 下一页
  • 末页

热门标签

随便看看

  • 增强斗争精神牢固树立为民服务理念畅通

    增强斗争精神牢固树立为民服务理念畅通

    167
  • 11月国内新能源重卡市场共计销售4632辆环

    11月国内新能源重卡市场共计销售4632辆环

    152
  • 塘房镇凉水村发生山体滑坡造成18户房屋

    塘房镇凉水村发生山体滑坡造成18户房屋

    94
  • 越来越多的女性开始加入跟车的行列共同

    越来越多的女性开始加入跟车的行列共同

    53
  • 茅台醉直隶 飞天敬总督——2023年保定直

    茅台醉直隶 飞天敬总督——2023年保定直

    0

推荐排行

  • 大连市一轿车撞击行人致4死3伤 警方:驾
  • 榴莲香蕉成房价单位?深圳查处以水果打
  • 公安通报汕尾老年男子猥亵女学生:已抓
  • 业内专家谈特斯拉事故数据:制动起到作

阅读排行

  • “垃圾短信”:这个通信“牛皮癣”为何

    “垃圾短信”:这个通信“牛皮癣”为何

    0
  • 无故欠垃圾费拟纳入失信名单 是加强管理

    无故欠垃圾费拟纳入失信名单 是加强管理

    0
  • 每件必检,件件消毒!广州28个进口冷冻

    每件必检,件件消毒!广州28个进口冷冻

    0
  • 腾讯、爱奇艺修改庆余年超前点播规则,

    腾讯、爱奇艺修改庆余年超前点播规则,

    0
  • 出租车司机车内猝死仍被贴罚单?官方:

    出租车司机车内猝死仍被贴罚单?官方:

    0
网站首页 国内新闻 国际新闻 游戏新闻 教育新闻 社会新闻 娱乐新闻 科技新闻 医疗医学 热点新闻 新闻头条

Copyright © 2007-2021 威斯汀新闻网

友情链接:
大家都在搜